Maxfacts

Cyst

Surgical management of cysts is, by and large, some form of removal of the cyst.

Before this definitive surgical intervention, a decision has to be made if a biopsy beforehand is necessary or not. Preoperative histological diagnosis is an advantage in most cases. The problem is that even if performed under local anaesthesia, it subjects the patient to an unpleasant and potentially unnecessary second procedure. Clinically and radiologically unicystic lesions where the level of certainty of diagnosis is high can quite reasonably be treated primarily and the diagnosis confirmed postoperatively, accepting that very rarely a surprise diagnosis of keratocyst (see below), ameloblastoma or even a malignancy will occur. Equally, if there is a level of uncertainty with the diagnosis, a pre-definitive treatment biopsy is the sensible option.

Another consideration before definitive surgical treatment concerns anaesthesia. If the cyst is limited to the region of a single tooth, then treatment under local anaesthesia is usually adequate. Cysts in the posterior mandible and those spanning more than two or three teeth, as well as other extended cysts, are often better treated under general anaesthesia. These can only be approximate guidelines and the treatment plan should be tailored to the individual case, taking all other factors such as medical history, size and potential definitive diagnosis into account.

Epithelial cysts affecting the jaws

As far as jaw cysts are concerned, there are essentially three surgical treatment options: enucleation (cystectomy), marsupialization (cystostomy), or slightly more aggressive forms of removal, limited resection, in some cases.

Enucleation (cystectomy)

Enucleation involves the stripping away of the cyst lining from the resorbed bony cavity, resulting in a clean ‘hole’ in the bone. This deficit is filled by blood which organises into osteoid and then into new bone. There has never been an evidence-based demonstration of need to graft or fill the defect with synthetic substances. A step by step illustration of the procedure is shown in Figures 1 to 6.

Figure 1: Flap to expose bone expanded by the underlying cyst.
Figure 2: Buccal cortex (outer hard shell of bone) is removed to create a bone window for enucleation of the cyst.
Figure 3: The plane between the cyst lining and the bone cavity is bluntly dissected.
Figure 4: Teasing the cyst by direct traction and dissection delivers the cyst.
Figure 5: The empty bone cavity after removal of the cyst.
Figure 6: The removed cyst specimen.

Marsupialization (cystostomy)

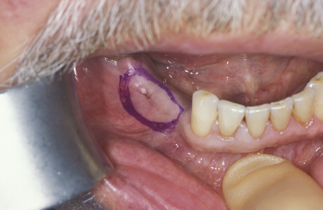
Large cysts in which enucleation may result in extensive local damage or patients who are unfit for more extensive surgery can be managed by marsupialization. This involves exposing the cyst lining and removing a small window from the lining. This is then sutured to the mucosa. The cavity can then be packed with an antiseptic dressing and regularly changed as the cavity heals from underneath. A step by step illustration of the procedure is shown in Figures 7 to 9.

Figure 7: Marsupialization of a cyst that is in contact with the overlying mucosa. The area of mucosa to be excised is marked (in purple).
Figure 8: The cyst lining is retained and in continuity with oral epithelium externalizing the cyst.
Figure 9: The defect is packed with iodoform gauze. This allows gradual resolution of the defect as new bone displaces the cavity lining.

Decompression with oral grommets (tiny tubes) has been used in extremely frail patients. This procedure removes little or none of the cyst lining but places a small ‘ventilation tube’ which seems to delay growth, or may even reduce the overall size of the cyst. This procedure is essentially palliative as no formal diagnosis is reached and the bone defect remains in adults. In children some compensatory growth can occur.

Enucleation or marsupialization are the usual methods of choice for removal of:

Limited resection

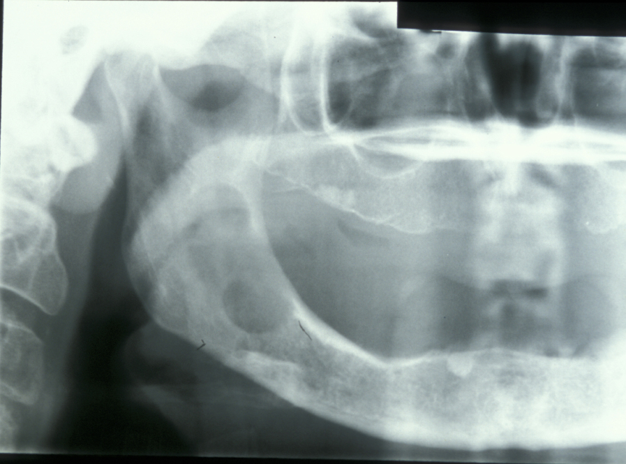
Limited resection represents a more aggressive form of removal of a cyst in that it will include the removal of bone in the vicinity of the cyst (a modified enucleation). It may also be a rim resection of the mandible (where a considerable portion of the mandibular bone is removed but a thin rim of the mandible is preserved to provide continuity of the bone). Treatment with Carnoy’s solution (a mixture of 60% alcohol, 30% chloroform and 10% concentrated acetic acid; applied locally directly after enucleation of a keratocyst) is popular with some surgeons. This is a way to reduce recurrence of keratocysts: the epithelial lining in keratocysts is very friable and therefore difficult to remove completely. Cryotherapy (local use of low temperature) may also have a role. A resection procedure with a reinforcing reconstruction plate is illustrated in Figures 10 to 15.

Figure 10: A large keratocyst, requiring more radical excision.
Figure 11: Approach to a large recurrent keratocyst that has grossly distorted the buccal cortex (outward facing cover of mandibular bone).
Figure 12: The involved bone is removed, thus exposing the cyst.
Figure 13: The thick-walled cyst is removed and the surrounding bone is excised.
Figure 14: The hollow lower border and the lingual cortex (tongue-facing cover of mandibular bone) are plated with a reconstruction plate. If a pathological fracture occurs, the bone will be held in its anatomical position while it heals.
Figure 15: A bicortical screw securing the reconstruction plate and avoiding the nerves running through the mandible (inferior alveolar nerve, branching into mental and incisive branches) by passing beneath the nerve bundle.

Limited resection is a method for the removal of:

Nonepithelial cysts affecting the jaws

Aneurysmal bone cyst

These are rare and different treatment methods have been advocated. Simple curettage (removing tissue by scraping or scooping) is usually all that is required. Some cases are complicated by severe bleeding and sudden enlargement. If this is the case the lesion may be very vascular and detailed investigations, including vascular studies, are advised. In these situations, limited resection is needed and curative.

Solitary bone cyst

These cysts often resolve spontaneously. However, the cavity is usually opened if only to confirm a diagnosis. Theoretically it could be healed by injecting the patients blood into the cyst to allow organization of clot into new bone.

Stafne’s idiopathic (unknown cause) bone cavity

No treatment is required.

Epithelial cysts affecting mouth, neck and face (other than jaw)

For these cysts affecting different areas of mouth, neck and face the usual preferred surgical approach is removal by complete excision.

Complete excision is the usual procedure for the removal of:

Figure 16 illustrates the distortion of the sternomastoid muscle by a branchial cyst, Figure 17 shows a branchial cyst being removed from beneath the sternomastoid muscle.

Figure 16: Skin flap elevated to show the distortion of sternomastoid caused by a branchial cyst and the preserved great auricular nerve.
Figure 17: The dissected branchial cyst being removed from beneath the sternomastoid

Cystic hygroma / lymphangioma (neck and mouth)

Surgical treatment of cystic hygroma (mostly in the neck) or lymphangioma (in the mouth) is usually by excision (picibanil injections into the cysts(s) can be an alternative: picibanil is a streptococcal antigen that causes selective fibrosis/sclerosis of lymphangiomas). Surgery is extremely difficult for microcystic lesions but comparatively simple for large, solitary macrocystic lymphangioma (the latter also happens to be easiest to sclerose with picinabil). Microcystic lymphangioma may require multiple excisions over many years.

Thyroglossal duct cyst

Excision of thyroglossal duct cysts requires the removal of the central portion of the hyoid bone to allow complete excision of the duct (see Figure 16).

Figure 18: Excision of a thyroglossal duct cyst, including the tract and the central portion of the hyoid bone.